eye diseases
Refractive Errors
Refractive errors are vision problems caused by the way the eye focuses light, leading to blurred or distorted vision.These errors include myopia , hyperopia , astigmatism.
Retina Laser
A LASER is nothing but light with some special properties like being highly focussed and in sync which helps the laser form a sharp point with very high energy levels.
Retinal Injections
There are several advantages of direct injections but the most important is to achieve required dose at the retina. It also increases the duration of medicine.
Retinal Detachment
Retinal detachment is a condition where the retina, layer of light-sensitive tissue lining the inner surface of eye, detaches from its underlying supportive tissue.
Macular Hole Treatment
Macular hole is a condition in which there’s is a full thickness discontinuity of layers at the macula. in other words, there is a gap or a hole in the macula.
Macular Degeneration
Age-related macular degeneration (AMD) is a leading cause of vision loss and blindness people over the age of 60,It is a progressive condition.
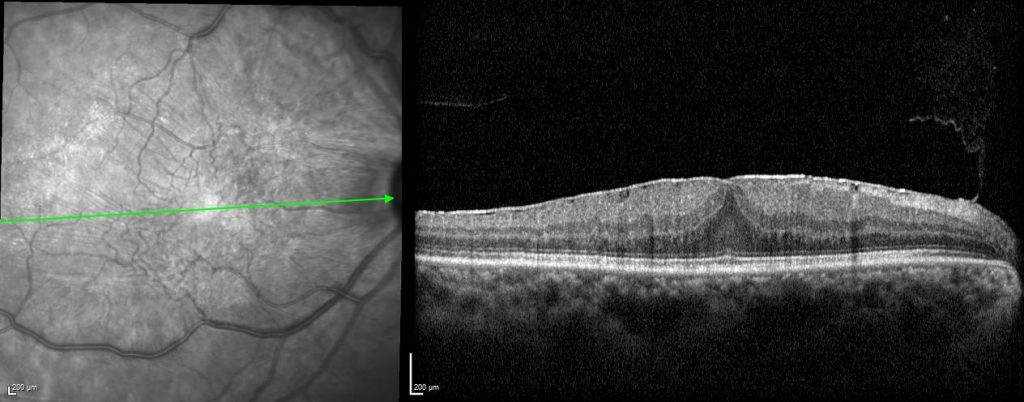
Epiretinal Membrane
An epiretinal membrane (ERM) refers to the development of a thin sheet of tissue or a thin film developing over the central area of the retina called the macula.
Blue Cut Lenses
Blue cut lenses are lenses that are designed to filter out blue light, a type of high-energy visible light emitted by electronic devices are smartphones, laptops, and televisions
